The vascular package comes standard with Skan-C
The vascular package comes standard with Skan-C that enables clinics and ambulatory surgery centers to perform a wider range of procedures, including DSA and roadmap. These packages typically include specialized imaging modes, tools, and software upgrades that are specifically designed for vascular interventions.
Procedures you can do with Skan-C
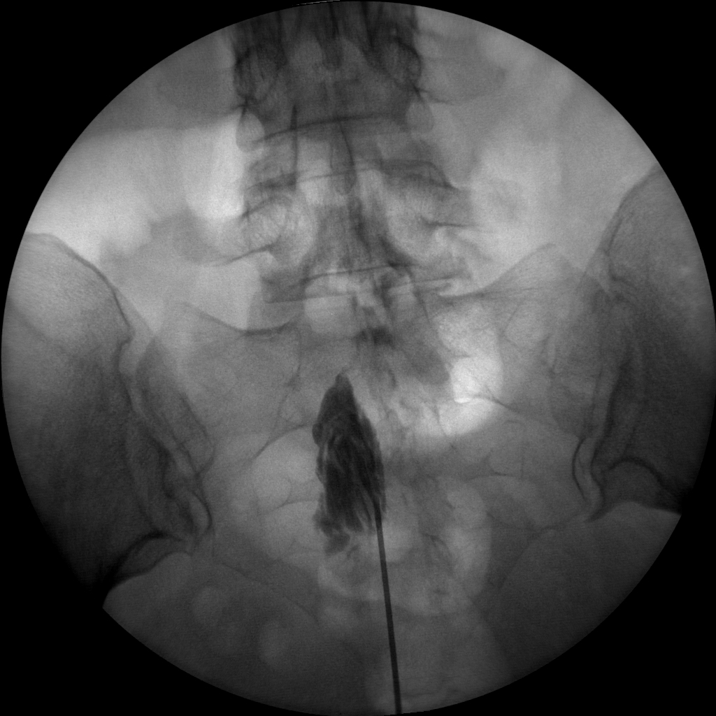
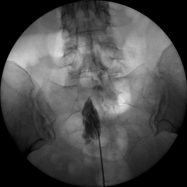
Some of the DSA procedures in which Skan-C is highly effective are
Cerebral & peripheral angiography
Cerebral & peripheral angioplasty
Stenting
Thrombectomy
Embolization
Why Skan-C
Skan-C is a great C-arm for vascular treatments for several reasons
DSA & Roadmap inbuilt
DSA and Roadmap built into the system is a significant advantage for clinics and ambulatory surgery centers, both from the point of view of patient care and cost benefits. Instead of referring patients to larger hospitals or specialized facilities, these facilities can provide comprehensive care in-house, leading to potential cost savings for the patients and the healthcare system
Versatility
Skan-C is a highly versatile machine that can be used for a variety of pain management treatments, including epidural injections, nerve blocks, joint injections, and more.
High-quality imaging
Skan-C uses advanced imaging technology, such as pulsed fluoroscopy and digital subtraction angiography, to provide highly detailed images of the affected area. This allows doctors to perform procedures with increased precision and accuracy, and better patient outcome
Ease of use
Skan-C provides 45 degree over rotation (over scan) that is particularly helpful for pain management applications. Skan-C is designed to be user-friendly, with an intuitive interface that allows doctors to quickly and easily adjust settings and customize imaging parameters.
Dose Management
Intelligent algorithms continuously monitor the image quality and adjust parameters to provide best image quality at lowest possible radiation. Ultra-high frequency generator (80-250 kHz), low dose mode, pulse mode, laser aimer, virtual collimator, etc. are features that lowers radiation for the safety of your patients and staff
Compact size
Skan-C is a compact and lightweight machine that can be easily maneuvered in small spaces, making it ideal for use in pain clinics or other healthcare facilities with limited space. (contact Skanray for a free CAD drawing of your room layout.)


