Skan-C is critical in pain management clinics
Skan-C is critical in pain management clinics as it provides excellent imaging during interventional procedures, allowing for precise localization and accurate treatment. The ability of Skan-C to offer dynamic visualization of anatomical structures enhances patient safety, minimizes complications, and improves the overall effectiveness of pain management interventions.
Pain Management procedures you can do with Skan-C
Some of the pain management procedures in which Skan-C is highly effective are
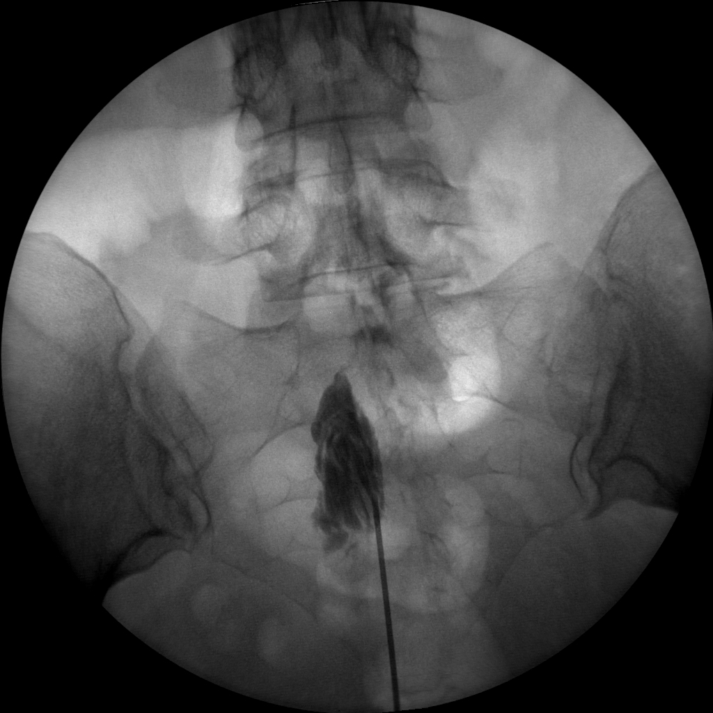
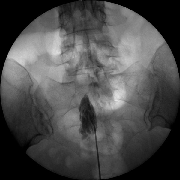
Epidural Injections
The high-resolution 1kx1k images from Skan-C helps pain management professionals visualize the position of the needle in relation to the epidural space, ensuring accurate and effective treatment.
Nerve Blocks
Skan-C is an excellent choice for performing nerve blocks, a procedure that involves injecting anesthetic or anti-inflammatory medication near specific nerves to alleviate pain.
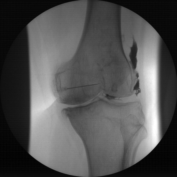
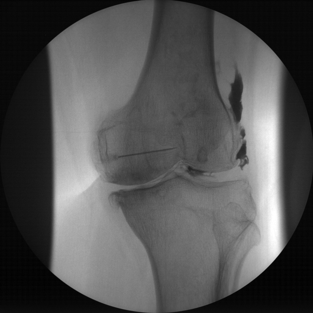
Joint Injections
Skan-C proves highly effective in performing joint injections, a procedure commonly used to administer pain-relieving medication directly into the affected joints, such as the knee, shoulder, or hip.
Radio frequency Ablation (RFA)
Skan-C is an invaluable tool for performing Radiofrequency Ablation (RFA), a procedure that uses heat to disable nerves responsible for transmitting pain signals. Skan-C's advanced imaging capabilities facilitate precise localization of the target nerves, guiding the placement of the RFA needle electrode accurately.
Spinal Cord Stimulation (SCS)
Skan-C is well-suited for performing Spinal Cord Stimulation (SCS), a pain management technique that involves implanting a device to deliver electrical impulses to the spinal cord, altering or blocking pain signals. Skan-C's high-resolution imaging assists pain management professionals in placing the leads precisely and evaluating their position to the spinal cord.
Why Skan-C
Skan-C is a great C-arm for pain management treatments for several reasons
Versatility
Skan-C is a highly versatile machine that can be used for a variety of pain management treatments, including epidural injections, nerve blocks, joint injections, and more.
High-quality imaging
Skan-C uses advanced imaging technology, such as pulsed fluoroscopy and digital subtraction angiography, to provide highly detailed images of the affected area. This allows doctors to perform procedures with increased precision and accuracy, and better patient outcome
Ease of use
Skan-C provides 45 degree over rotation (over scan) that is particularly helpful for pain management applications. Skan-C is designed to be user-friendly, with an intuitive interface that allows doctors to quickly and easily adjust settings and customize imaging parameters.
Dose Management
Intelligent algorithms continuously monitor the image quality and adjust parameters to provide best image quality at lowest possible radiation. Ultra-high frequency generator (80-250 kHz), low dose mode, pulse mode, laser aimer, virtual collimator, etc. are features that lowers radiation for the safety of your patients and staff
Compact size
Skan-C is a compact and lightweight machine that can be easily maneuvered in small spaces, making it ideal for use in pain clinics or other healthcare facilities with limited space. (contact Skanray for a free CAD drawing of your room layout.)
Clinical Evidence
Skan-C is a great C-arm for pain management treatments for several reasons


