Skan-C plays a critical role in orthopaedic procedures
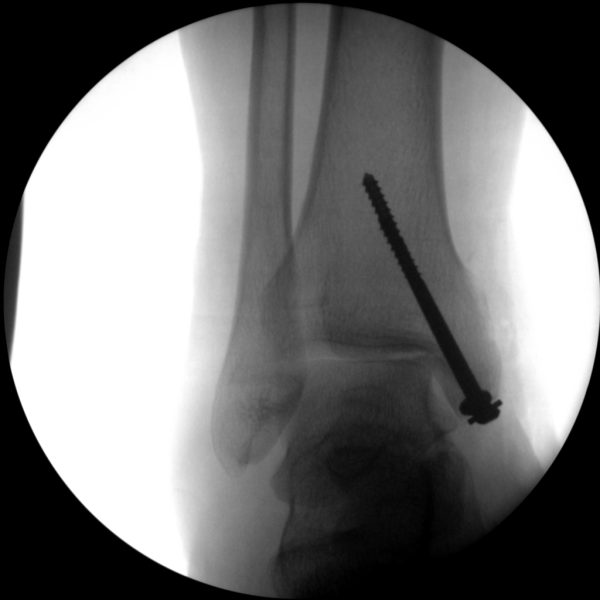
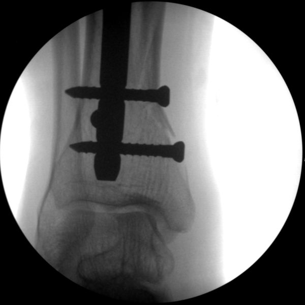
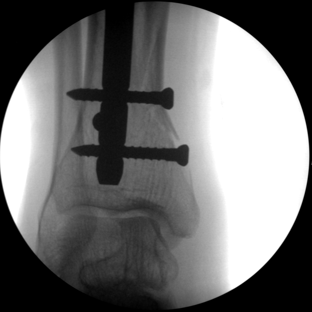
Skan-C plays a critical role in orthopaedic procedures, providing excellent imaging during interventional procedures, and allowing for precise localization and accurate treatment. The ability of Skan-C to offer dynamic visualization of visualization structures enhances patient safety, minimizes complications, and improves the overall effectiveness of orthopedic interventions.
Procedures you can do with Skan-C
Orthopedic procedures in which Skan-C is highly effective are
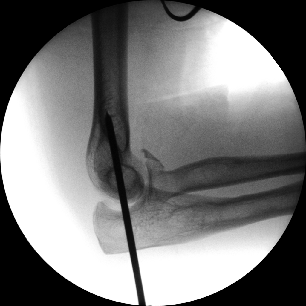
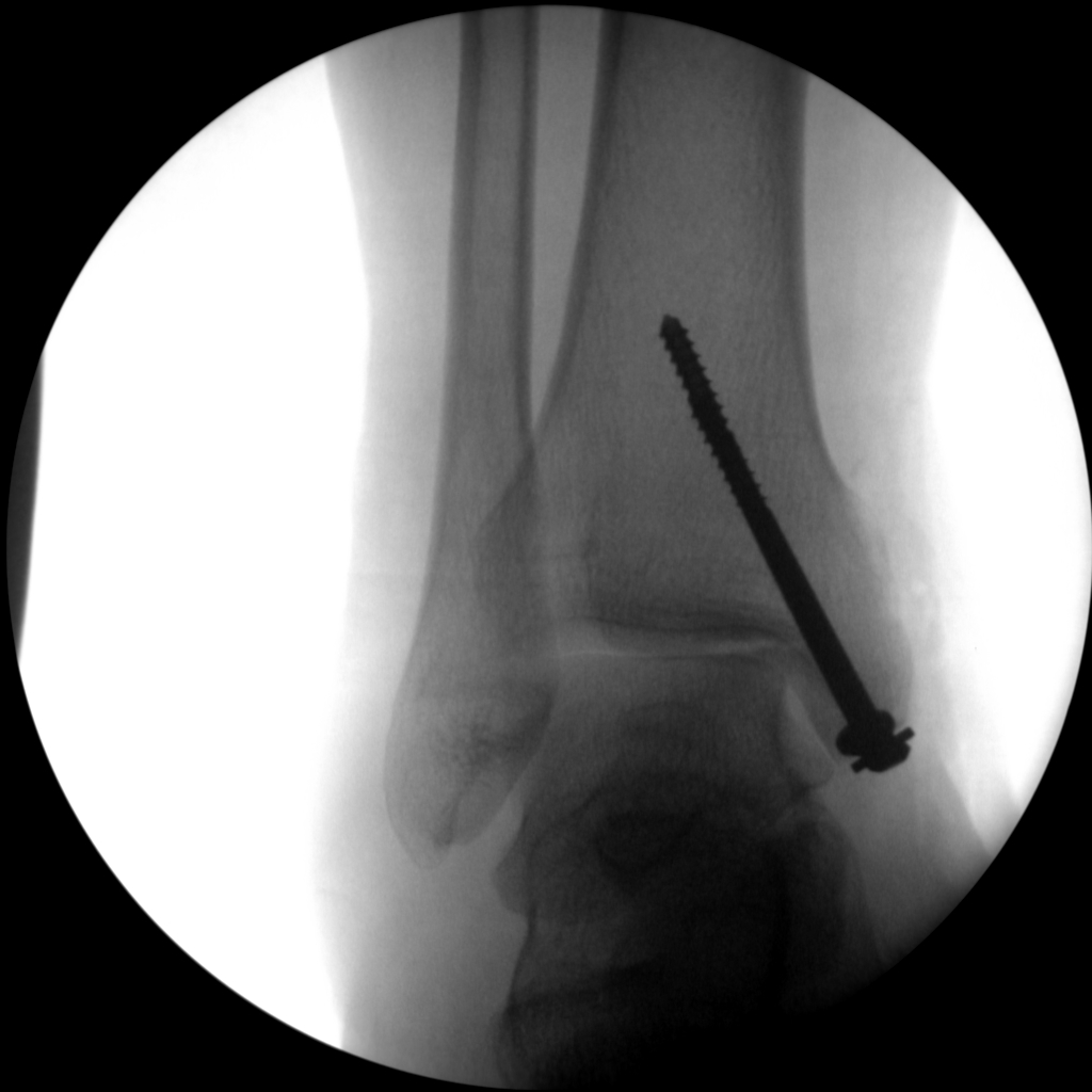
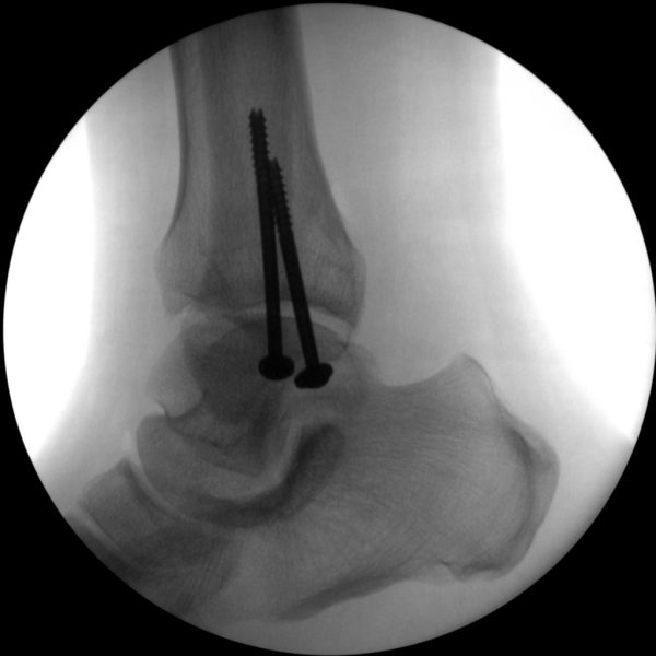
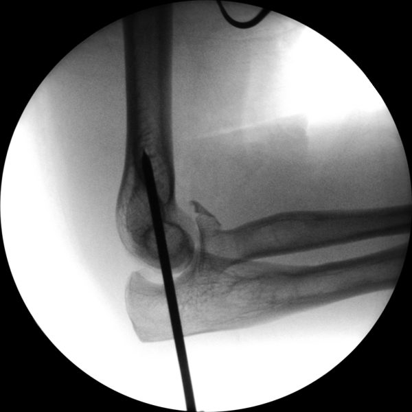
CRIF - Closed reduction internal fixation
ORIF - Open reduction internal fixation
Hip fixation
Long bone nailing
Vertebroplasty / Kyphoplasty
Bone biopsy
Intra-articular steroid injections
Arthrography
Joint Aspiration
Why Skan-C
Skan-C is a great C-arm for orthopaedic treatments for several reasons
Versatility
Skan-C is a highly versatile machine that can be used for a variety of pain management treatments, including epidural injections, nerve blocks, joint injections, and more.
High-quality imaging
Skan-C uses advanced imaging technology, such as pulsed fluoroscopy and digital subtraction angiography, to provide highly detailed images of the affected area. This allows doctors to perform procedures with increased precision and accuracy, and better patient outcome
Ease of use
Skan-C provides 45 degree over rotation (over scan) that is particularly helpful for pain management applications. Skan-C is designed to be user-friendly, with an intuitive interface that allows doctors to quickly and easily adjust settings and customize imaging parameters.
Dose Management
Intelligent algorithms continuously monitor the image quality and adjust parameters to provide best image quality at lowest possible radiation. Ultra-high frequency generator (80-250 kHz), low dose mode, pulse mode, laser aimer, virtual collimator, etc. are features that lowers radiation for the safety of your patients and staff
Compact size
Skan-C is a compact and lightweight machine that can be easily maneuvered in small spaces, making it ideal for use in pain clinics or other healthcare facilities with limited space. (contact Skanray for a free CAD drawing of your room layout.)
Clinical Evidence
Skan-C is a great C-arm for orthopaedic treatments for several reasons


